MedlinePlus Información de Salud para UstedMedlinePlus Información de Salud para UstedMedlinePlus Información de Salud para Usted

Enciclopedia médica en español

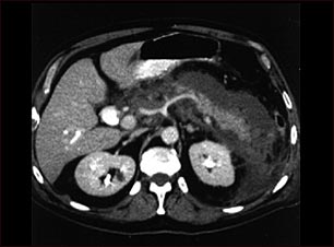
Pancreatitis aguda; TC

Pancreatitis aguda; TC

Esta TC del abdomen superior muestra un páncreas inflamado e hinchado debido a infección aguda (pancreatitis).

Actualizado: 5/27/2008


A.D.A.M. logo