MedlinePlus Información de Salud para UstedMedlinePlus Información de Salud para UstedMedlinePlus Información de Salud para Usted

Enciclopedia médica en español

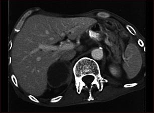
Metástasis suprarrenal -TC

Metástasis suprarrenal -TC

TC de la parte superior del abdomen que muestra una metástasis suprarrenal (diseminación del tumor a la glándula suprarrenal, encima del riñón) en una persona con cáncer de pulmón.

Actualizado: 9/4/2008


A.D.A.M. logo