MedlinePlus Información de Salud para UstedMedlinePlus Información de Salud para UstedMedlinePlus Información de Salud para Usted

Enciclopedia médica en español

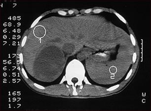
Tumor suprarrenal, tomografía computarizada

Tumor suprarrenal, tomografía computarizada

TC del abdomen superior de una persona con una masa en la glándula suprarrenal derecha. Las glándulas suprarrenales están situadas por encima de los riñones.

Actualizado: 9/4/2008


A.D.A.M. logo