![]() | ![]() | ![]() |
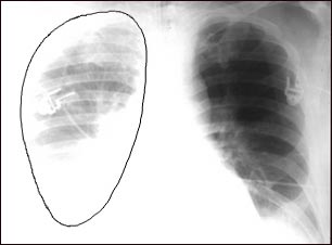
Ruptura aórtica, radiografía de tórax

En esta imagen se puede apreciar una ruptura aórtica (rompimiento de la aorta, arteria mayor que viene del corazón). En este caso, la causa es una perforación traumática de la aorta torácica. Así aparece la radiografía cuando el tórax está lleno de sangre (hemotórax del lado derecho), visto aquí como una nubosidad al lado izquierdo de la imagen.
Actualizado: 8/28/2008
