MedlinePlus Información de Salud para UstedMedlinePlus Información de Salud para UstedMedlinePlus Información de Salud para Usted

Enciclopedia médica en español

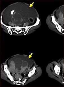
Ascitis con cáncer ovárico; TC

Ascitis con cáncer ovárico; TC

Esta TC del abdomen bajo muestra una cantidad masiva de líquido intraperitoneal (ascitis) en una paciente con cáncer de ovario.

Actualizado: 6/10/2008


A.D.A.M. logo