![]() | ![]() | ![]() |
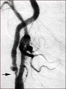
Estenosis carotídea; radiografía de la arteria derecha

Angiograma de la arteria carótida derecha que muestra un estrechamiento severo (estenosis) de la arteria carótida interna justo más allá de la bifurcación carotídea. En esta diapositiva se ve un agrandamiento de la arteria o ulceración en el área luego de la estenosis. Obsérvese el segmento estrecho cerca del extremo inferior de la imagen.
Actualizado: 7/15/2008
