MedlinePlus Información de Salud para UstedMedlinePlus Información de Salud para UstedMedlinePlus Información de Salud para Usted

Enciclopedia médica en español

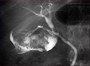
Colangiograma de una colecistitis

Colangiograma de una colecistitis

La colelitiasis se puede ver en un colangiograma. Se utiliza tinte radio opaco para mejorar la radiografía. En la vesícula biliar hay múltiples cálculos (PTCA).

Actualizado: 6/3/2008


A.D.A.M. logo