MedlinePlus Información de Salud para UstedMedlinePlus Información de Salud para UstedMedlinePlus Información de Salud para Usted

Enciclopedia médica en español

Colecistolitiasis

Colecistolitiasis

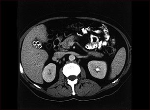
Colecistolitiasis. TC del abdomen superior mostrando múltiples cálculos biliares.

Actualizado: 6/3/2008


A.D.A.M. logo