MedlinePlus Información de Salud para UstedMedlinePlus Información de Salud para UstedMedlinePlus Información de Salud para Usted

Enciclopedia médica en español

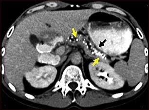
Tomografía computarizada de una pancreatitis crónica

Tomografía computarizada de una pancreatitis crónica

TC del abdomen superior que muestra múltiples calcificaciones blancas. Éstas se presentan en la pancreatitits crónica.

Actualizado: 5/27/2008


A.D.A.M. logo