![]() | ![]() | ![]() |
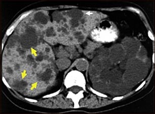
Quistes del riñón y el hígado; TC

Esta TC abdominal muestra quistes en el hígado y los riñones (enfermedad poliquística). El hígado es el órgano grande situado en la parte izquierda de la pantalla. Las manchas oscuras sobre el hígado son los quistes.
Actualizado: 8/14/2007
