MedlinePlus Información de Salud para UstedMedlinePlus Información de Salud para UstedMedlinePlus Información de Salud para Usted

Enciclopedia médica en español

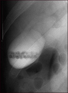
Colangiograma de cálculos

Colangiograma de cálculos

Colecistograma de un paciente con cálculos biliares.

Actualizado: 6/3/2008


A.D.A.M. logo