MedlinePlus Información de Salud para UstedMedlinePlus Información de Salud para UstedMedlinePlus Información de Salud para Usted

Enciclopedia médica en español

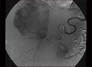
Angiograma de hemangioma

Angiograma de hemangioma

Este angiograma (una radiografía tomada después de inyectar un medio de contraste en el torrente sanguíneo) muestra una masa de vasos sanguíneos (hemangioma) en el hígado.

Actualizado: 8/7/2007


A.D.A.M. logo