MedlinePlus Información de Salud para UstedMedlinePlus Información de Salud para UstedMedlinePlus Información de Salud para Usted

Enciclopedia médica en español

Tracto urinario masculino

Tracto urinario masculino

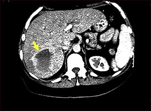
Esta TC abdominal superior muestra un tumor de un vaso sanguíneo (hemangioma) en el hígado.

Actualizado: 8/7/2007


A.D.A.M. logo