![]() | ![]() | ![]() |
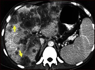
Tomografía computarizada de cáncer hepatocelular

Una tomografía computarizada de la parte superior del abdomen que muestra un carcinoma diseminado del hígado (carcinoma hepatocelular). El hígado es el órgano grande al lado izquierdo de la imagen y presenta una apariencia de haber sido devorado por polillas.
Actualizado: 9/4/2008
