MedlinePlus Información de Salud para UstedMedlinePlus Información de Salud para UstedMedlinePlus Información de Salud para Usted

Enciclopedia médica en español

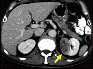
TC de tumor del riñón

TC de tumor del riñón

Esta TC del abdomen muestra un tumor en el riñón izquierdo, llamado hipernefroma o carcinoma de células renales, ubicado en el lado inferior derecho de la imagen.

Actualizado: 6/10/2008


A.D.A.M. logo