MedlinePlus Información de Salud para UstedMedlinePlus Información de Salud para UstedMedlinePlus Información de Salud para Usted

Enciclopedia médica en español

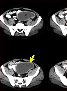
Absceso intraabdominal-TC

Absceso intraabdominal-TC

TC de la pelvis que muestra una gran masa dentro del abdomen.

Actualizado: 5/1/2006


A.D.A.M. logo