![]() | ![]() | ![]() |
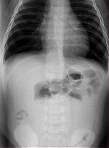
Radiografía de una invaginación

Esta radiografía abdominal muestra una condición en la que un asa intestinal se ha deslizado de otra sección del intestino (invaginación), causando hinchazón, reducción del flujo sanguíneo, obstrucción y daño a los tejidos. La invaginación requiere tratamiento de emergencia (enema de bario o cirugía) para evitar muerte del tejido intestinal (necrosis), perforación intestinal, peritonitis y la muerte del paciente.
Actualizado: 7/23/2008
