MedlinePlus Información de Salud para UstedMedlinePlus Información de Salud para UstedMedlinePlus Información de Salud para Usted

Enciclopedia médica en español

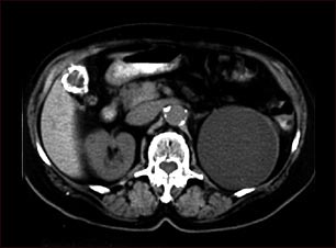
Quiste renal con cálculos biliares; TC

Quiste renal con cálculos biliares; TC

TC del abdomen superior mostrando un quiste del tamaño de un puño en el riñón izquierdo y cálculos biliares (el quiste del riñón se encontró por casualidad; no habían síntomas).

Actualizado: 6/3/2008


A.D.A.M. logo