![]() | ![]() | ![]() |
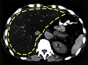
TC de grasa del hígado

Esta es una TC del abdomen superior que muestra un hígado graso (esteatosis del hígado). Se puede notar el agrandamiento del hígado y el color oscuro comparado con el bazo (cuerpo gris en el lado inferior derecho).
Actualizado: 7/27/2008
