MedlinePlus Información de Salud para UstedMedlinePlus Información de Salud para UstedMedlinePlus Información de Salud para Usted

Enciclopedia médica en español

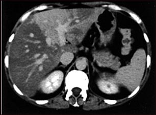
TC de hígado con exceso de grasa

TC de hígado con exceso de grasa

Esta es una TC del abdomen superior que muestra esteatosis desproporcionada del hígado (hígado graso).

Actualizado: 7/27/2008


A.D.A.M. logo