![]() | ![]() | ![]() |
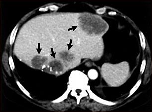
TC de metástasis hepática

TC de la parte superior del abdomen de un paciente con carcinoma del intestino grueso que muestra metástasis múltiple hacia el hígado. Observar las áreas oscuras en el hígado (lado izquierdo y al centro de la imagen).
Actualizado: 9/4/2008
