![]() | ![]() | ![]() |
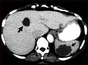
TC de quistes del hígado y el bazo

Esta TC abdominal muestra múltiples quistes en el hígado y el bazo. Se puede ver un quiste circular oscuro en el hígado (lado izquierdo de la pantalla) y un gran quiste circular irregular en el bazo (parte inferior derecha de la pantalla).
Actualizado: 8/14/2007
