MedlinePlus Información de Salud para UstedMedlinePlus Información de Salud para UstedMedlinePlus Información de Salud para Usted

Enciclopedia médica en español

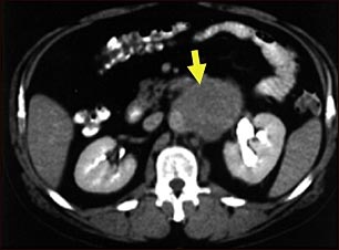
Tomografía computarizada de metástasis a los ganglios linfáticos

Tomografía computarizada de metástasis a los ganglios linfáticos

TC del abdomen medio mostrando un gran tumor debido a metástasis (cáncer diseminado) en los ganglios linfáticos abdominales.

Actualizado: 8/22/2008


A.D.A.M. logo