MedlinePlus Información de Salud para UstedMedlinePlus Información de Salud para UstedMedlinePlus Información de Salud para Usted

Enciclopedia médica en español

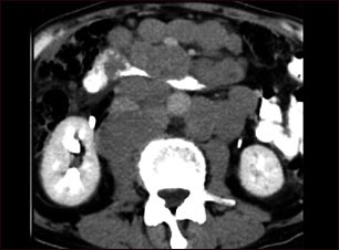
Linfoma maligno - TC

Linfoma maligno - TC

Esta TC abdominal muestra masas tumorales (linfomas malignos) en el área posterior a la cavidad peritoneal (espacio retroperitoneal).

Actualizado: 5/1/2006


A.D.A.M. logo