![]() | ![]() | ![]() |
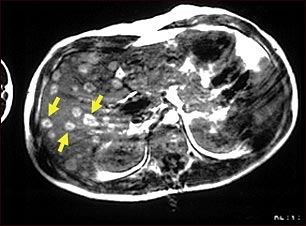
IRM del melanoma del hígado

Esta IRM de la parte superior del abdomen muestra tumores múltiples en el hígado que se han diseminado (metástasis) desde un melanoma maligno en un brazo o pierna. Observe las áreas circulares y claras presentes en todo el hígado (en su mayoría ubicadas del lado izquierdo de la pantalla).
Actualizado: 2/5/2008
