![]() | ![]() | ![]() |
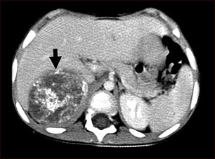
Tomografía computarizada de neuroblastoma en el hígado

Esta TC del abdomen superior muestra un tumor grande (neuroblastoma) en el lado derecho del abdomen del paciente (lado izquierdo inferior de la imagen). El tumor se encuentra detrás del hígado, empujándolo hacia adelante, y existe la posibilidad de que se disemine dentro del tejido hepático.
Actualizado: 6/10/2008
