MedlinePlus Información de Salud para UstedMedlinePlus Información de Salud para UstedMedlinePlus Información de Salud para Usted

Enciclopedia médica en español

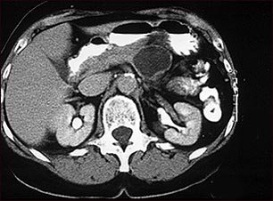
Adenoma quístico del páncreas; TC

Adenoma quístico del páncreas; TC

Esta TC del abdomen superior muestra, en la parte superior derecha de la imagen, un gran quiste en el páncreas (adenoma quístico del páncreas).

Actualizado: 1/24/2007


A.D.A.M. logo