MedlinePlus Información de Salud para UstedMedlinePlus Información de Salud para UstedMedlinePlus Información de Salud para Usted

Enciclopedia médica en español

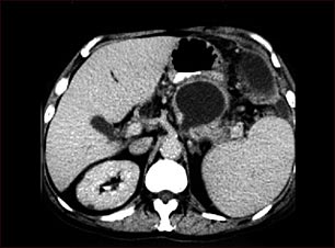
Seudoquiste pancreático, Tomografía computarizada

Seudoquiste pancreático, Tomografía computarizada

Esta TC del abdomen superior muestra un seudoquiste en el cuerpo o cola del páncreas.

Actualizado: 1/24/2007


A.D.A.M. logo