MedlinePlus Información de Salud para UstedMedlinePlus Información de Salud para UstedMedlinePlus Información de Salud para Usted

Enciclopedia médica en español

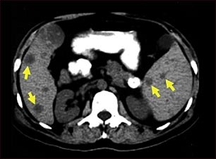
Tomografía computarizada de metástasis del bazo

Tomografía computarizada de metástasis del bazo

Esta TC del abdomen superior muestra múltiples tumores en el hígado y el bazo que provienen (son metástasis) de un cáncer (carcinoma) intestinal original.

Actualizado: 3/24/2008


A.D.A.M. logo