![]() | ![]() | ![]() |
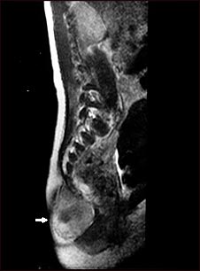
Teratoma - IRM

Esta IRM muestra un tumor (teratoma) en la base de la columna vertebral (se observa en el borde inferior izquierdo de la pantalla), situado en las áreas sacra y coxígea (área sacrocoxígea). Los teratomas se presentan al nacimiento y pueden contener pelo, dientes y otros tejidos.
Actualizado: 9/30/2008
