![]() | ![]() | ![]() |
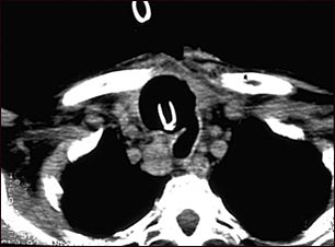
Tomografía computarizada de cáncer de tiroides

TC de la parte superior del tórax que muestra un tumor maligno (cáncer) tiroideo. Se ha producido la destrucción y muerte (necrosis) del tejido normal en el área oscura alrededor de la tráquea (marcada por la punta blanca en forma de U del tubo respiratorio), como resultado del crecimiento del tumor.
Actualizado: 3/21/2008
