MedlinePlus Información de Salud para UstedMedlinePlus Información de Salud para UstedMedlinePlus Información de Salud para Usted

Enciclopedia médica en español

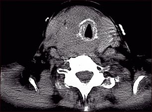
Tomografía computarizada de cáncer de tiroides

Tomografía computarizada de cáncer de tiroides

Tomografía computarizada de un tumor en la garganta, consecuencia de un cáncer tiroideo. Este tumor ha rodeado, constreñido y desplazado la tráquea.

Actualizado: 12/14/2007


A.D.A.M. logo