MedlinePlus Información de Salud para UstedMedlinePlus Información de Salud para UstedMedlinePlus Información de Salud para Usted

Enciclopedia médica en español

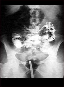
Radiografía de vólvulo

Radiografía de vólvulo

Serie GI en un paciente con torsión intestinal (vólvulo).

Actualizado: 7/23/2008


A.D.A.M. logo