MedlinePlus Información de Salud para UstedMedlinePlus Información de Salud para UstedMedlinePlus Información de Salud para Usted

Enciclopedia médica en español

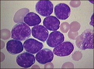
Microfotografía de leucemia linfocítica aguda

Microfotografía de leucemia linfocítica aguda

Esta fotografía muestra las células linfáticas (linfoblastos) teñidas de oscuro que se observan en la leucemia linfocítica aguda, el tipo más común de leucemia infantil.

Actualizado: 7/11/2008


A.D.A.M. logo