MedlinePlus Información de Salud para UstedMedlinePlus Información de Salud para UstedMedlinePlus Información de Salud para Usted

Enciclopedia médica en español

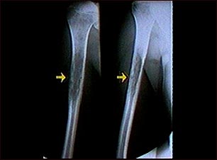
Rayos X de un sarcoma de Ewing

Rayos X de un sarcoma de Ewing

Esta radiografía muestra un tumor óseo maligno (sarcoma de Ewing) del hueso del brazo (húmero). Este tipo de tumor generalmente aparece durante la niñez o la adolescencia.

Actualizado: 3/24/2008


A.D.A.M. logo