![]() | ![]() | ![]() |
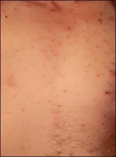
Lesiones en el tórax por varicela

Esta fotografía muestra lesiones en el pecho causadas por la varicela. La varicela sigue siendo una enfermedad infecciosa común y la gran mayoría de las personas conoce su apariencia. En los Estados Unidos, ya se aprobó el uso de una vacuna contra esta enfermedad. (Cortesía de los Centros para el Control y la Prevención de Enfermedades -CDC- de los Estados Unidos)
Actualizado: 6/19/2008
