![]() | ![]() | ![]() |
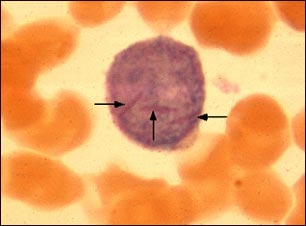
Bastón de Auer

Aquí se muestra una cantidad considerable de bastones de Auer, los cuales se encuentran sólo en las leucemias mieloides agudas, ya sean mieloblásticas o monoblásticas. Estos bastones consisten de aglomeraciones de gránulos azurofílicos.
Actualizado: 7/11/2008
