![]() | ![]() | ![]() |
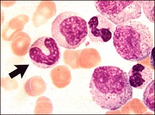
Vista microscópica: leucemia mielocítica crónica

Esta imagen obtenida con un microscopio de alto poder de un frotis de sangre perteneciente a una persona que padece LMC, muestra predominantemente células de apariencia normal con madurez intermedia.
Actualizado: 5/3/2006
