![]() | ![]() | ![]() |
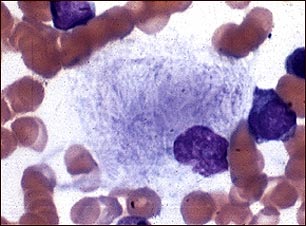
Microfotografía de célula de Gaucher

La enfermedad de Gaucher se clasifica como una "enfermedad de depósito de lípidos", a causa de la cual se depositan cantidades anormales de lípidos, llamados "glicoesfingolípidos" en células especiales, llamadas células retículoendoteliales. El núcleo de las células es típicamente empujado hacia la periferia de las mismas y el espacio restante es ocupado por lípidos anormales.
Actualizado: 5/3/2006
