![]() | ![]() | ![]() |
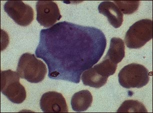
Mononucleosis, microfotografía de células

Esta es una "célula de Downey" o linfocito infectado de mononucleosis, ya sea por el virus de Epstein-Barr o por el citomegalovirus. Las células de Downey se clasifican en los tipos I, II y III. Esta es una célula de Downey tipo II.
Actualizado: 9/17/2008
