![]() | ![]() | ![]() |
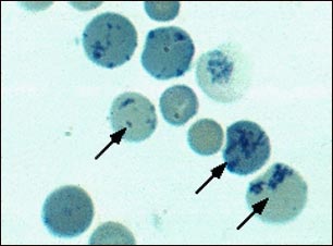
Reticulocitos

Ante la presencia de algunas anemias, el organismo incrementa la producción de glóbulos rojos (GR) y los envía al torrente sanguíneo antes de que hayan alcanzado su madurez. Estas células inmaduras se denominan reticulocitos y se caracterizan por presentar una red de filamentos y gránulos. Normalmente representan el 1% del conteo de GR, pero pueden exceder el 4% cuando compensan la anemia.
Actualizado: 6/10/2008
