![]() | ![]() | ![]() |
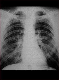
Pulmones de un trabajador del carbón; rayos X

Esta radiografía de tórax muestra los pulmones de un minero. A ambos lados de los pulmones hay áreas difusas, pequeñas (de 1 a 3 mm. cada una) y claras. Las enfermedades que pueden explicar estos hallazgos en una radiografía son la neumoconiosis del minero (NCM) etapa I, silicosis simple, tuberculosis miliar, histiocitosis X (granuloma eosinofílico) y otras enfermedades pulmonares infiltrativas difusas.
Actualizado: 8/10/2008
