![]() | ![]() | ![]() |
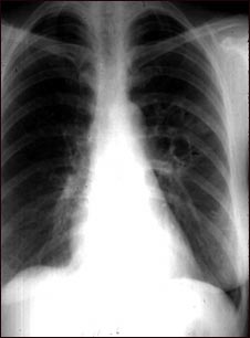
Coccidioidomicosis - radiografía de tórax

Esta radiografía de tórax muestra los efectos de una infección micótica, la coccidioidomicosis. En el centro del pulmón izquierdo (visto en el lado derecho de la figura) hay múltiples cavidades de pared delgada (vistas como áreas claras de la imagen) con un diámetro de 2 a 4 centímetros. Al lado de estas áreas claras, se encuentran áreas de parches claros con bordes irregulares y poco definidos.
Otras enfermedades que pueden explicar estos hallazgos en una radiografía son, entre otras: abscesos pulmonares, tuberculosis pulmonar crónica, histoplasmosis pulmonar crónica y otras.
Actualizado: 8/10/2008
