![]() | ![]() | ![]() |
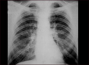
Neumoconiosis del minero en etapa II

Esta radiografía de tórax muestra la neumoconiosis del minero etapa II (CWP, por sus siglas en inglés). A ambos lados del pulmón hay áreas difusas, pequeñas y claras. Otras enfermedades que pueden explicar estos hallazgos en una radiografía son, entre otras: la silicosis simple, la tuberculosis diseminada, cáncer metastásico de pulmón y otras enfermedades pulmonares infiltrativas y difusas.
Actualizado: 9/4/2008
