![]() | ![]() | ![]() |
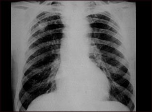
Neumoconiosis del minero, Etapa II #2

Esta radiografía de tórax muestra la neumoconiosis del minero etapa II. A ambos lados del pulmón hay áreas difusas, pequeñas (de 2 a 4 mm. cada una) y claras. En la parte superior del pulmón derecho (al lado izquierdo de la imagen), hay un área clara (mide aproximadamente 2 x 4 cm.), con bordes poco definidos que representa una unificación de áreas claras previamente diferenciadas. Las enfermedades que pueden explicar estos hallazgos en una radiografía son la neumoconiosis del minero (NCM) etapa II, silicotuberculosis, tuberculosis diseminada, cáncer metastásico de pulmón y otras enfermedades pulmonares infiltrativas difusas.
Actualizado: 9/4/2008
