![]() | ![]() | ![]() |
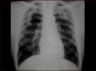
Neumoconiosis complicada del minero

Esta imagen muestra la neumoconiosis complicada del minero. A ambos lados del pulmón hay áreas difusas, pequeñas (de 3 a 5 mm.) y claras. Hay áreas claras grandes junto a los bordes poco definidos en la parte superior de ambos pulmones. Las enfermedades que pueden explicar estos hallazgos en una radiografía son la neumoconiosis complicada del minero (NCM), silicotuberculosis, tuberculosis diseminada, cáncer metastásico de pulmón y otras enfermedades pulmonares infiltrativas difusas.
Actualizado: 9/4/2008
