![]() | ![]() | ![]() |
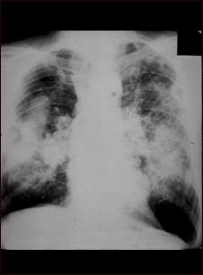
Neumoconiosis en trabajadores del carbón; complicada #2

Esta imagen muestra la neumoconiosis complicada del minero. En la parte superior y media de ambos pulmones, hay áreas difusas, masivas y claras que corren paralelas y están superpuestas a un fondo de pequeñas áreas claras, difusas y difíciles de distinguir, que cubren ambos pulmones. Las enfermedades que pueden explicar estos hallazgos en una radiografía son la neumoconiosis complicada del minero (NCM), silicotuberculosis, y cáncer metastásico de pulmón.
Actualizado: 9/4/2008
