![]() | ![]() | ![]() |
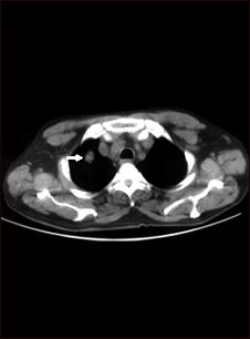
Nódulo pulmonar solitario; TC

TC que muestra una sola lesión (nódulo pulmonar) en el pulmón izquierdo. Se puede ver el nódulo como un círculo claro en la parte superior del área oscura, al lado izquierdo de la imagen. Un pulmón normal aparecería completamente negro en una tomografía computarizada.
Actualizado: 9/17/2008
