![]() | ![]() | ![]() |
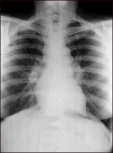
Sarcoidosis, estado I - radiografía de tórax

La sarcoidosis es principalmente una en enfermedad pulmonar. Cuando se encuentra en sus etapas tempranas, la radiografía torácica puede mostrar ganglios linfáticos agrandados en el centro del pecho, cerca del corazón (mediastino).
Actualizado: 9/16/2008
