![]() | ![]() | ![]() |
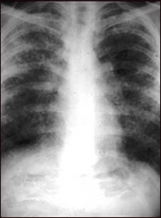
Sarcoidosis, estado II - radiografía de tórax

La sarcoidosis causa daños en el tejido pulmonar que pueden sanar con la cicatrización. Esta diapositiva muestra el área pulmonar, normalmente de apariencia oscura, con un aspecto lechoso y granuloso. Este individuo sufre una grave disminución de la función pulmonar.
Actualizado: 9/4/2008
